June 20, 2022

KIF2A decreases IL-33 production and attenuates allergic asthmatic inflammation

  • Research
  • Open Access

Abstract

Background

The microtubule-dependent molecular motor protein Kinesin Family Member 2A (KIF2A) is down-regulated in asthmatic human airway epithelium. However, little is known about the roles of KIF2A as well as the possible underlying mechanisms in asthma.

Methods

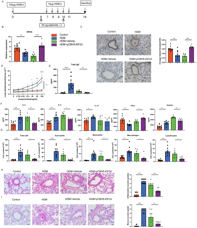
House dust mite (HDM) extract was administered to establish a murine model of asthma. The expression of KIF2A, IL-33 and the autophagy pathways were detected.

The plasmid pCMV-KIF2A was used to overexpress KIF2A in the airway epithelial cells in vitro and in vivo. IL-4, IL-5, IL-33 and other cytokines in bronchoalveolar lavage fluid (BALF) and lung tissues homogenates were measured.

Results

In response to the challenge of house dust mite (HDM) in vitro and in vivo, airway epithelial cells displayed decreased production of KIF2A. Meanwhile, autophagy and IL-33 were increased in HMD-treated epithelial cells. Mechanistically, KIF2A decreased autophagy via suppressing mTORC1 pathway in HDM-treated epithelial cells, which contributed to the reduced production of IL-33. Moreover, in vivo KIF2A transfection reduced IL-33 and autophagy in the lung, leading to the attenuation of allergic asthma.

Conclusion

KIF2A suppressed mTORC1-mediated autophagy and decreased the production of epithelial-derived cytokine IL-33 in allergic airway inflammation. These data indicate that KIF2A may be a novel target in allergic asthma.


Download PDF

No comments:

Post a Comment