- Research
- Open Access
Abstract
Background
Aspirin exacerbated respiratory disease (AERD) is a disease of the upper and lower airways. It is characterized by severe asthma, chronic sinusitis with nasal polyps (CRSwNP) and intolerance towards nonsteroidal analgesics (NSAR). Arachidonic acid (AA) metabolites play an important role in the pathogenesis of AERD. It is still unknown, whether metabolism of AA is comparable between the upper and lower airways as well as between patients with and without NSAR intolerance.
Objective
We sought to analyze differences in the expression of cyclooxygenases type 1 and 2 (COX-1, COX-2), arachidonate 5-lipoxygenase (5-LOX) and cysteinyl leukotriene receptor type 2 () in nasal polyps and the bronchial mucosa of patients with aspirin intolerant asthma (AIA, 𝑛=23) as compared to patients with aspirin tolerant asthma (ATA, 𝑛=17) and a control group with nasal polyps, but without asthma (NPwA, 𝑛=15).
Methods
Tissue biopsies from nasal polyps and bronchial mucosa were obtained during surgical treatment of nasal polyps by endonasal functional endoscopic sinus surgery (FESS) under general anesthesia from intubated patients. Immunohistochemistry was used to analyze the expression of COX-1, COX-2, 5-LOX and in nasal and bronchial mucosa. Categorization into the different patient groups was performed according to the patient history, clinical and laboratory data, pulmonary function and provocation tests, as well as allergy testing.
Results
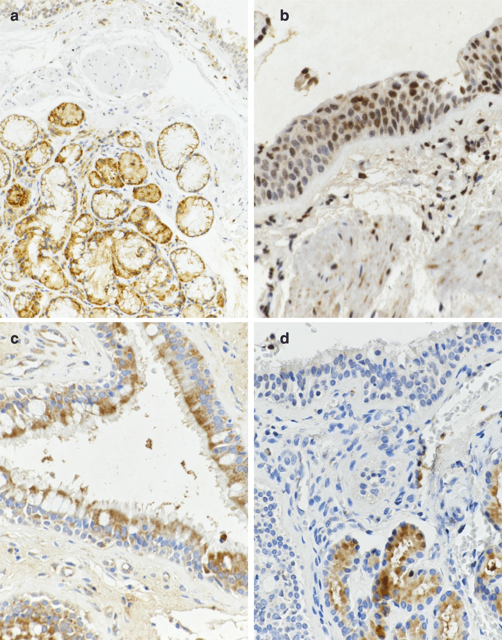
We observed a stronger expression of 5-LOX and in submucosal glands of nasal and bronchial tissue compared to epithelial expression. The expression of COX-1 and COX-2 was stronger in epithelia compared to submucosal glands. There was a similar expression of the enzymes and between upper and lower airways in all patient groups. We did not detect any significant differences between the patient groups.
Conclusions
The AA-metabolizing enzymes and the were expressed in a very similar way in different microscopic structures in samples of the upper and lower airways of individual patients. We did not detect differences between the patient groups indicating the pathogenetic role of AA metabolism in these disorders is independent of the presence of NSAR-intolerance.

No comments:
Post a Comment